Magenschleimhaut
Die Magenschleimhaut (lateinisch Tunica mucosa gastrica) ist die innere Auskleidung (Schleimhaut) des Magens. Sie besteht aus einem Epithel (Lamina epithelialis mucosae) und einer Eigenschicht (Lamina propria mucosae). Die Verbindungsschicht zur weiter außen liegenden glatten Muskulatur der Magenwand wird Submukosa (Tela submucosa) genannt.
Die Magenschleimhaut bildet die Magensäure, Pepsinogen (die inaktive Vorstufe des eiweißspaltenden Enzyms Pepsin), den zur Resorption von Vitamin B12 erforderlichen Intrinsic-Faktor sowie verschiedene Hormone.[1] Außerdem bewirkt sie die Auskleidung des Magens mit einer dicken Schleimschicht, die die Magenwand vor der Magensäure schützt.
Die Schleimhaut des Magens ist je nach Füllungszustand in Falten gelegt. Die Schleimhaut zeigt eine Felderung, diese „Felder“ werden als Areae gastricae bezeichnet. Von der Schleimhaut gehen kraterartige Vertiefungen zur Eigenschicht aus, die als „(Donderssche)[2] Magengrübchen“ (Foveolae gastricae) bezeichnet werden.
Lamina epithelialis mucosae
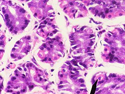
Das Epithel der Magenschleimhaut besteht nur aus einer Zellschicht aus hochprismatischen (höher als breit) Zellen (einschichtiges hochprismatisches Epithel). Die Zellen (Epitheliocyti superficiales gastris) sind durch sogenannte Tight Junctions fest untereinander verbunden. Im Epithel sind zahlreiche schleimproduzierende Nebenzellen eingestreut. Der Schleim dieser Zellen und der der Magendrüsen (s. u.) schützt das Epithel vor der im Magen produzierten Salzsäure.
Beim Menschen wird der Schleim im Wesentlichen von den Oberflächenepithelien bzw. den foveolären Zylinderzellen gebildet und holokrin sezerniert, mithin durch die Zellmauserung. Die sogen. Nebenzellen heißen hier mucous neck cells oder Drüsenhalszellen und finden sich in der Regel auch nur im Drüsenhals, sie liegen nicht eingestreut zwischen den foveolären Zylinderzellen.
Lamina propria mucosae
Die Eigenschicht besteht aus Bindegewebe, Blutgefäßen, Lymphgefäßen, Zellen des Immunsystems (teilweise als Lymphfollikel) und Drüsen. Die Magendrüsen (Glandulae gastricae) münden in die Magengrübchen. Es handelt sich um schlauchförmige (tubuläre) Drüsen. Je nach Magenregion sind diese unterschiedlich ausgebildet und erfüllen auch unterschiedliche Funktionen. Man unterscheidet Kardia-, Fundus- und Pylorusdrüsen. Im Epithel der Magendrüsen sind neben exokrinen Zellen auch endokrin tätige Zellen integriert, die zum diffusen neuroendokrinen System (DNES) gehören.
Zur Submukosa hin besitzt die Eigenschicht eine Lage aus glatter Muskulatur, die Lamina muscularis mucosae. Am Übergang zur Submukosa liegen Ganglien des Meissner-Plexus (Plexus submucosus).
Kardiadrüsen
Die Kardiadrüsen (Glandulae cardiacae) erstrecken sich auf den Bereich des Mageneingangs (Cardia), lediglich bei Schweinen nehmen sie fast die Hälfte des Magens ein. Bei Pferden sind sie auf einen Randbereich am Übergang von der kutanen zur eigentlichen Schleimhaut ausgebildet.
Die Drüsenschläuche sind verzweigt und gewunden. Ihre Wand besteht aus den eigentlichen Drüsenzellen (Epitheliocyti cardiaci), die Mucine, ein alkalisches, schleimiges Sekret absondern.
Fundusdrüsen
Die Fundus- oder auch Eigendrüsen (Glandulae gastricae propriae) bilden den eigentlichen Magensaft. Sie erstrecken sich auf den Magenboden (Fundus) und -körper (Corpus ventriculi). Es sind gestreckte Schlauchdrüsen mit verschiedenen Zelltypen. Diese Schläuche werden in drei Abschnitte unterteilt:
- Isthmus: die Engstelle am Übergang vom Magengrübchen (Foveola gastrica) zum Drüsenschlauch
- Hals (Cervix) des Drüsenschlauches
- Hauptteil (Pars principalis): unterer Abschnitt und Drüsengrund
Die Zellen des Isthmus bestehen zum Teil aus Epithelzellen. Sie bilden, wie das übrige Epithel, Schleim (Mucus) und Bicarbonat-Ionen, die als Basen eine Pufferwirkung gegenüber den freien Protonen haben. Dieser alkalische Schleim schützt das Epithel vor dem sauren Milieu des Magens. Weiter in der Tiefe befinden sich Stammzellen, die sich kontinuierlich teilen und die absterbenden Epithelzellen ersetzen.[1]
Im Drüsenhals kommen vor allem Neben- und Belegzellen vor. Im Hauptteil liegen die Hauptzellen und auch einige Belegzellen.
Die Nebenzellen (Mucocyti cervicales) sind iso- bis hochprismatisch und besitzen einen basalen Zellkern. Sie sezernieren ebenfalls alkalischen Schleim zum Schutz des Epithels.
Die Belegzellen (Exocrinocyti parietales, auch Parietalzellen) liegen zwischen den übrigen Zellen oder ihnen außen an. Sie sezernieren Protonen, die sich extrazellulär mit Chloridionen zu Salzsäure zusammenlagern, und den für die Cobalamin-Resorption (Vitamin B12) notwendigen intrinsischen Faktor. Die Zellen bilden intrazelluläre Sekretkanäle mit Mikrovilli. Diese Kanäle werden im aktiven Zustand der Zellen in die luminale (zum Magenraum gerichtete) Plasmamembran eingebaut und vergrößern so die Kontakt- und Abgabefläche. Hier befinden sich Protonen-Kalium-Pumpen, die Protonen im Austausch gegen Kaliumionen aus der Zelle transportieren. Belegzellen sind relativ groß und eosinophil (mit Eosin anfärbbar und daher rötlich).[1]
Die Enterochromaffin-ähnlichen Zellen (auch ECL-Zellen oder H-Zellen) sind endokrine Zellen, die häufig in der Nähe der Belegzellen liegen. Sie produzieren Histamin, das stimulierend auf die Säureproduktion der Belegzellen wirkt.[1]
Die Hauptzellen (Exocrinocyti principales) im Hauptteil der Magendrüsen sind hochprismatisch mit einem basal liegenden Zellkern. Sie bilden Pepsinogene, die Vorstufen verschiedener Enzyme, die zusammengefasst als Pepsine bezeichnet werden (bei Wiederkäuern das Lab). Sie werden in sogenannten Zymogengranula in den Zellen zwischengespeichert. Hauptzellen sind durch den großen Anteil an rauem Endoplasmatischem Retikulum (rER) basophil (mit basophilen Farbstoffen anfärbbar, daher bläulich).[1]
Pylorusdrüsen
Die Pylorusdrüsen (Glandulae pyloricae) liegen am Magenausgang (Pylorus). Sie sondern, ähnlich den Kardiadrüsen, ein alkalisches, schleimiges Sekret ab. Sie sind isoprismatisch, der Zellkern ist teilweise stark abgeflacht. Im Gegensatz zu den weiter oral (also Richtung Speiseröhre) liegenden Magendrüsen besitzen die Glandulae pyloricae keine Haupt- und kaum Belegzellen. Im Epithel der Pylorusdrüsen sind neben den exokrinen Drüsenzellen (Exocrinocyti pylorici), die Schleim produzieren, auch endokrine Zellen integriert, die Hormone bilden und an die umgebenden Blutgefäße abgeben:
Die G-Zellen bilden das Hormon Gastrin, das die Säureproduktion in den Belegzellen stimuliert. Dies geschieht direkt (durch Stimulation der säurebildenden Belegzellen) und indirekt, durch Stimulation der Histaminausschüttung in ECL-Zellen.
Die D-Zellen bilden Somatostatin. Sie werden durch Magensäure im Magenlumen stimuliert. Somatostatin hemmt die Gastrinausschüttung in G-Zellen und die Histaminausschüttung in ECL-Zellen (was sich negativ auf die Säureproduktion auswirkt) sowie auch direkt die Säureproduktion in Belegzellen.[3] D-Zellen kommen auch im Magenfundus und -körper sowie im Zwölffingerdarm (und in weiteren Organen des Körpers, beispielsweise der Bauchspeicheldrüse) vor.
Submukosa
Die Tela submucosa stellt eine Verschiebeschicht dar.
Einzelnachweise
- ↑ Hochspringen nach: a b c d e Renate Lüllmann-Rauch: Taschenlehrbuch Histologie. 3. Auflage. Thieme Verlag, Stuttgart 2009, ISBN 978-3-13-129243-8, S. 373 ff.
- ↑ Reinhard Hildebrand: Rudolf Albert Koelliker und seine wissenschaftlichen Kontakte zum Ausland. In: Würzburger medizinhistorische Mitteilungen 2, 1984, S. 101–115; hier: S. 107.
- ↑ Michael Gekle: Ernährung, Energiehaushalt und Verdauung. In: Michael Gekle u. a. (Hrsg.): Taschenlehrbuch Physiologie. Thieme Verlag, Stuttgart 2010, ISBN 978-3-13-144981-8, S. 448 f.
Literatur
- Franz-Viktor Salomon: Magen, Ventriculus (Gaster). In: Franz-Viktor Salomon u. a. (Hrsg.): Anatomie für die Tiermedizin. 2. erw. Auflage. Enke Verlag, Stuttgart 2008, ISBN 978-3-8304-1075-1, S. 272–293.


© biancahoegel.de
Datum der letzten Änderung: Jena, den: 21.11. 2025