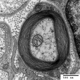
Myelin
Myelin ist eine Biomembran, mit der die Axone der meisten Nervenzellen von Wirbeltieren umhüllt sind. Die so gebildete Myelinscheide erhöht die Geschwindigkeit der Erregungsleitung erheblich über die eines nackten Axons. Im Vergleich zu anderen Biomembranen weist Myelin einen besonders hohen Lipidgehalt (70 %) und einen relativ geringen Proteinanteil (30 %)[1] auf. Daher erscheint Myelin in der makroskopischen Sicht weiß, weshalb stark myelinisierte Regionen im Zentralnervensystem auch als „weiße Substanz“ bezeichnet werden, im Gegensatz zur gering myelinisierten „grauen Substanz“. Auch die schnell leitenden sensorischen und motorischen Axone des peripheren Nervensystems sind myelinisiert.
Bildung
Myelin wird von Zellen gebildet: im Zentralnervensystem von Oligodendrozyten, im peripheren Nervensystem von Schwann-Zellen. Dass zentralnervöses Myelin von zellulären Fortsätzen der Oligodendrozyten gebildet wird, war lange umstritten und wurde erstmals 1962 von Mary Bartlett Bunge (* 1931) und Richard P. Bunge (1932–1996) in elektronenmikroskopischen Aufnahmen gezeigt. Myelin wird häufig als ein spezielles Merkmal der Wirbeltiere angesehen. Allerdings besitzen einige wirbellose Tiergruppen funktionale und strukturelle Analogien.
2019 wurde in einer Studie nachgewiesen, dass durch glyphosathaltige Herbizide wie Roundup bei Zellkulturen von Altweltmäusen die Myelinhülle abgebaut und dessen Neubildung verhindert wird. Ursächlich hierfür scheint aber nicht Glyphosat selbst, sondern enthaltene Hilfsstoffe zu sein.[2][3]
Zusammensetzung
Lipide
Die Lipidkomponente (70 %) besteht zu ca. 42 % aus Phospholipiden (davon 15 % Phosphatidylethanolamine (Kephaline), 10 % Lecithine (Phosphatidylcholine), 9 % Phosphatidylserine und 8 % Sphingomyeline, jeweils bezogen auf den Lipidgehalt), 28 % Glycolipiden (vorwiegend dem für Myelin typischen Galactocerebrosiden wie N-Palmitoylsphingosin-β-d-galactopyranosid), 22 % Cholesterin und 8 % anderen Lipiden.[4]
Ohne Cholesterin (Cholesterol) unter den Lipiden, kann die Isolations-Schicht eines Nervs nicht aufgebaut oder repariert werden.
Proteine
Für das Myelin spezifische Proteine sind:[5]
- Basische Myelinproteine oder Basisches Myelinprotein (MBP)
- Proteolipid-Protein (PLP/DM20)
- Myelin-assoziiertes Glykoprotein (MAG)
- Connexin-32 (Cx-32)
- Cyclische Nukleotid Phosphodiesterase (CNP)
Zentrales Myelin
- Myelin-Oligodendrozyten-Glykoprotein (MOG)
Peripheres Myelin
- Protein Null (P0, MPZ), Periaxin (PRX), Peripheres Myelinprotein 22 kDa (PMP-22)
Erkrankungen
Erkrankungen, bei denen die Myelinscheide geschädigt wird, heißen demyelinisierende Erkrankungen und sind oft autoimmun bedingt. Genetisch vererbte Erkrankungen, die primär das Myelin im Zentralnervensystem betreffen, werden als Leukodystrophien bezeichnet. Dazu gehören u. a. Pelizaeus-Merzbacher-Krankheit, Morbus Krabbe und X-chromosomal erbliche Adrenoleukodystrophie. Eine Subgruppe erblicher Neuropathien beruht ursächlich auf Mutationen in Genen, deren Proteinprodukte für das Myelin des peripheren Nervensystems relevant sind (MPZ, PRX, PMP22). Diskutiert wird darüber hinaus eine Rolle in der Entstehung psychischer Erkrankungen wie beispielsweise der Schizophrenie. Auch bei der perniziösen Anämie, die auf einen Mangel an Vitamin B12 zurückzuführen ist, kommt es zur Degeneration der Myelinscheiden und den dadurch bedingten Ausfallerscheinungen. Wie in anderen fetthaltigen Körpergeweben und Organen sowie Muttermilch resultieren aus dem hohen Fettgehalt des Myelins[1] hohe Adsorptionsraten und kumulative Anreicherungen mit neurotoxisch wirksamen Chemikalien, welche lipophile bzw. fettlösliche Eigenschaften aufweisen, beispielsweise mit Halogenkohlenwasserstoffen wie Dioxin/Polychlorierte Biphenyle.
Mausmutanten
Mäuse mit spezifischen Defekten in der Myelinisierung werden zur wissenschaftlichen Untersuchung dieses komplexen Vorgangs herangezogen. Dies ermöglicht ein besseres Verständnis der korrespondierenden menschlichen Erbkrankheiten, der Leukodystrophien.
| Mausmutante | Myelin-Gen | humane Myelinerkrankung |
|---|---|---|
| jimpy | PLP/DM20 | Pelizaeus-Merzbacher-Krankheit |
| rumpshaker | PLP/DM20 | Spastische Paraplegie, X-chrom. (SPG-2) |
| shiverer | MBP | ? |
| Twitcher | Galactocerebrosidase | Morbus Krabbe, Krabbe-Syndrom |
| Arylsulfatase A(-/-) | Arylsulfatase A | Metachromatische Leukodystrophie (MLD) |
| ALDP (-/Y) | ALDP | Adrenoleukodystrophie (X-ALD) |
| Sphingomyelinase(-/-) | Sphingomyelinase | Niemann-Pick-Syndrom |
| Hexosaminidase A(-/-) | Hexosaminidase A | Tay-Sachs-Syndrom |
| Hexosaminidase B(-/-) | Hexosaminidase B | Sandhoff-Krankheit |
| Aspartoacylase(-/-) | ASPA | Canavan-Erkrankung |
Historisches
Myelin wurde 1854 von dem Pathologen Rudolf Virchow (1821–1902) mittels Lichtmikroskopie an Gewebeschnitten entdeckt. Er fand in Nervenfasern eine Markscheide und schlug vor, sie Myelin (griech. myelòs = Mark, Gehirn) zu nennen.[6] Der aktuelle Begriff des Myelins in der Biologie und Medizin geht auf detaillierte strukturelle Beschreibungen des Pariser Pathologen Louis-Antoine Ranvier im Jahr 1878 zurück. Die für die Funktion der saltatorischen Erregungsleitung essentiellen ringförmigen Aussparungen der Myelinscheide tragen seinen Namen (Ranvier-Schnürringe).
Von historischem Interesse ist ein typisches Aufquellen des Myelins in Wasser unter Ausbildung wurmartiger Formen. Als weiteres wichtiges Merkmal entdeckte der Frankfurter Arzt Carl von Mettenheimer (1824–1898) im Jahre 1858 die optische Doppelbrechung des Myelins. Aus diesen Eigenschaften und aufgrund eigener Experimente folgerte der Karlsruher Physiker Otto Lehmann (1855–1922), der „Vater der Flüssigkristalle“, dass es sich beim Myelin um „flüssige Kristalle“ handelt, genauer: um lyotrope Flüssigkristalle, die sich in Verbindung mit einem Lösungsmittel, hier Wasser, bilden. Virchow hat also in der Tat erstmals einen Flüssigkristall beobachtet.[7][8]
Quellen
- ↑ Hochspringen nach: a b Renate Lüllmann-Rauch: Taschenlehrbuch Histologie. 3. Auflage. Thieme, Stuttgart 2009, ISBN 978-3-13-129243-8, S. 189.
- ↑ Fabian Szepanowski, Leon-Phillip Szepanowski, Anne K. Mausberg, Philipp Albrecht, Christoph Kleinschnitz, Bernd C.
Kieseier, Mark Stettner: Differential impact of pure glyphosate and glyphosate-based herbicide in a model of peripheral nervous system
myelination. In: Acta Neuropathologica. Band 136,
Nr. 6, 16. November 2018, ISSN 0001-6322,
S. 979–982,
doi:
10.1007/s00401-018-1938-4.
- ↑ Daniela Albat:
Schädigt Glyphosat die Nerven? Glyphosat-basierte
Pflanzenschutzmittel fördern Abbau von Zellen des Nervensystems. In: scinexx.de. 3. Dezember 2018.
- ↑ Eintrag zu Myelin. In: Römpp Online. Georg Thieme Verlag.
- ↑ Klaus-Armin Nave, Hauke B. Werner: Myelination of the Nervous System: Mechanisms and
Functions. In: Annual Review of Cell and Developmental Biology.
Band 30,
Nr. 1, 1. Januar 2014,
S. 503–533,
doi:
10.1146/annurev-cellbio-100913-013101.
- ↑ R. Virchow: Über das ausgebreitete Vorkommen einer dem Nervenmark analogen Substanz in den tierischen Geweben. In: Virchows Arch. Pathol. Anat. 6, 1854, S. 562–572.
- ↑ H.-R. Stegemeyer, H. Stegemeyer: Finally, I propose the medullary substance to be named Myelin. In: Dtsch. Med. Wochenschr. 129, 2004, S. 2784–2787.
- ↑ Horst Stegemeyer, Hans-Roland Stegemeyer: Die scheinbar lebenden Flüssigkristalle. In: Nachr. Chem. 52,
2004, S. 903–908,
doi:10.1002/nadc.20040520907.


© biancahoegel.de
Datum der letzten Änderung: Jena, den: 10.08. 2025