Frontalebene
Als Frontalebene (von lateinisch frons ‚Stirn‘) wird in der Anatomie eine Ebene bezeichnet, die sich beim aufrecht stehenden Menschen von oben nach unten wie von links nach rechts erstreckt. Eine Frontalebene teilt einen Körper in einen vorderen und einen hinteren Anteil. Ein Schnitt durch den Körper in dieser Ebene heißt Frontalschnitt. Die frontale Ansicht eines Körpers ist bei einem Blick im rechten Winkel (orthogonal) zur Frontalebene von vorne zu sehen.
Die in der nebenstehenden Abbildung blau gezeigte Ebene ist eine Frontalebene. Alle zu ihr parallelen Ebenen, d. h. nach vorn oder hinten verschobenen Ebenen, sind ebenfalls Frontalebenen. Liegt man ausgestreckt flach auf dem Rücken, stellt die Unterlage eine Frontalebene dar, auf dem Bauch auch. Mögliche Bewegungen in einer Frontalebene können in Längsrichtung fuß- oder kopfwärts und zu den Seiten nach rechts oder links erfolgen.
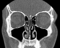
In der Medizin wird eine Frontalebene des Kopfes auch als Coronalebene oder Koronalebene bezeichnet. Insbesondere bei der tomographischen Bildgebung spielen Frontalschnitte – meist Koronalschnitte oder Koronarschnitte genannt – als parallel zu einer Frontalebene aufgenommene oder nachträglich in dieser Orientierung rekonstruierte Bilddaten eine wichtige Rolle. Aus der tomographischen Untersuchung in dieser Ebene ergeben sich die koronalen Schichtungen, die den Körper eines untersuchten Patienten so darstellen, dass sich von vorne nach hinten aufeinanderfolgende Schichten betrachten lassen.[1]
Siehe auch
Einzelnachweise
- ↑ Karl Zilles, Bernhard Tillmann: Anatomie. Springer 2010, ISBN 3-5406-9483-8, S. 3


© biancahoegel.de
Datum der letzten Änderung: Jena, den: 20.10. 2025