Transversalebene
Transversalebene (von lateinisch transversus ‚quer‘) bezeichnet in der Medizin eine quer liegende Ebene rechtwinklig zur Längsachse, so bei senkrechter Körperachse auch eine Horizontalebene. Eine Transversalebene teilt den Körper in einen oberen und einen unteren Anteil. Ein anatomischer Schnitt in dieser Ebene heißt Transversalschnitt bzw. Horizontalschnitt.
Die in der nebenstehenden Abbildung grün dargestellte Ebene ist eine Transversalebene. Alle zu ihr parallelen, nach oben oder unten verschobenen Ebenen sind ebenfalls Transversalebenen. Es gibt unendlich viele parallel zueinander liegende Transversalebenen. Drehungen um die Längsachse sind Bewegungen in diesen Ebenen.
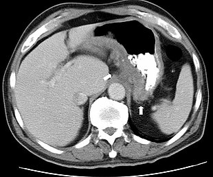
Bei den bildgebenden Verfahren der Radiologie – insbesondere den anhand der Untersuchungsdaten errechneten Darstellungen von Körperquerschnitten bestimmter Schichtdicke (Tomographie) – spielen Transversalschnitte eine wichtige Rolle. Sie stellen die aufgenommenen Bilddaten in verschiedenen Transversalebenen dar, die mit bestimmten Abständen längs der Körperachse aufeinander folgen und so in axialer Schichtung ein Bild des Körpers geben. Bei der tomographischen Untersuchung wird eine Serie transaxialer Schnittbilder erstellt, die den untersuchten Körper Schicht für Schicht transversal darstellen.
Siehe auch


© biancahoegel.de
Datum der letzten Änderung: Jena, den: 20.10. 2025