Zelloberfläche
Durch die Zellmembran wird das Innere einer Zelle vom Äußeren abgegrenzt. Die Zelloberfläche ist die Kontaktfläche, an der eine Zelle mit der Außenwelt in Kontakt tritt. Die Zelloberfläche ist genauso der Teil einer Zelle, der bestimmt, wie andere Zellen, Blutbestandteilen wie Antikörper, Komplementproteine, Hormone oder Nährstoffen mit einer gegebenen Zelle in Wechselwirkung treten.
Die Zelloberflächen sind durch Proteine, Glykoproteine, Proteoglykane, Glykolipide und Membranlipide gekennzeichnet. Dabei kann man einfach unterscheiden, ob ein Bestandteil eine Wirkung nach außen haben soll oder nach innen.
Wirkung nach außen
- Histokompatibilitätsantigene sind Zelloberflächenkomplexe, mit denen eine Zelle dem Immunsystem zeigt, dass zu dem gleichen Individuum gehört und zu welchem Zelltyp es gehört.
- Antigenrezeptoren auf Zellen zeigen an, dass es sich um Lymphozyten (Zellen des Immunsystems) handelt.
- Mannose-Rezeptoren sind auf Fresszellen anzufinden, die alternde Zellen fressen und entsorgen.
Es ist nicht von ungefähr, dass diese Zellen, die eine Wirkung nach außen zeigen, zum Immunsystem gehören: Einer Hormon-bildenden Zelle, deren Funktion auch nach außen gerichtet ist, sieht man nämlich nicht von außen an, dass im Innern Hormon gelagert wird, das nur darauf wartet, freigesetzt zu werden. Von außen ist auch nicht erkennbar, welches Hormon. Bei Immunzellen ist das Erkennen des Außen nun schon als Funktion durch Proteine in der Zellmembran vorhanden und kann mit Hilfe geeigneter Analysen (monoklonale Antikörper gegen die Erkennungsstrukturen) bestimmt werden.
- Fast alle Zellen stehen in Zellverbänden und sind mit ihren Nachbarzellen durch feste Verbindungen (tight junctions) verknüpft. Bei den Desmosomen liegen unter der Zellmembran Keratinfäden, die durch die Zellmembran hindurch mit Cadherinen auf der Zelloberfläche verbunden sind. Cadherine binden an die Cadherine der Nachbarzellen, wodurch ein für Zellen und Blutbestandteile undurchdringbarer Verschluss entsteht.
- Muskelzellen können nur im Zellverband Bewegung auslösen. Dazu müssen sie ihre Kontraktionen an die anderer Zellen und an feste Haltepunkte (Sehnen) anbinden, wozu charakteristische Proteine auf der Zelloberfläche notwendig sind.
- Bei der Zelladhärenz kommen Zellen vorübergehend in Kontakt. Besonders die Proteine der Integrin-Familie vermitteln Zelladhärenz, in dem diese Proteine mit Bindungspartner auf anderen Zellen reagieren. Weiße Blutzellen schwimmen deshalb häufig nicht frei im Blut, sondern sie "rollen" auf der Blutgefäßwand: einerseits werden sie vom Blutstrom getrieben, andererseits heften sie sich kurzzeitig an andere Zellen und testen deren Oberflächensignale. Bei einer Entzündung werden von dem Entzündungsherd aus Botenstoffe (Zytokine) ausgeschickt, die zur Veränderung der Oberflächenproteine auf den Zellen der Gefäßwand führen. In dem Fall "rollen" die Immunzellen nicht mehr, sondern heften sich fest an und drängen sich zwischen Zellen der Gewäßwand durch diese hindurch, um angelockt von den Botenstoffen an den Entzündungsherd zu gelangen.
Wirkung nach innen
Für jede Zelle relevant sind Moleküle, mit denen sie Nährstoffe aufnimmt. Zucker wie Glukose, Aminosäuren oder Ionen werden alle von der Barriere Zellmembran vom Zellinneren ferngehalten und benötigen Transportsysteme, um in die Zelle hinein zu gelangen. Jede Zelle benötigt also Glukosetransporter-Proteine, Transporter für essentielle Aminosäuren, die eine menschliche Zelle nicht selbst bilden kann, oder Ionenkanäle. Die charakteristischen Funktionen eines Zelltypes finden ihren Ausdruck in einem speziellen Proteinprogramm, das auch auf der Zelloberfläche zum Tragen kommt:
Nervenzellen sind zum Beispiel dadurch charakterisiert, dass sie Neurotransmitter ausschütten, aber auch binden können. Die Möglichkeit des Ausschütten Könnens kann man der Oberfläche nicht ansehen, dafür aber kann man die Glutamat, GABA-, Dopamin-, Noradrenalin-, Serotonin-Rezeptoren, auch die für alle übrigen Neurotransmitter auf Nervenzelloberflächen sehen. Auch die Ionenkanäle von Neuronen sind von außen sichtbar.
Zellen der Hormonfreisetzungskaskaden haben Rezeptoren für Freisetzungshormone. Da Hormone im Blut schwimmen, könnten sie an jede Zelle binden; eine funktionelle Bindung findet aber nur statt, da wo eine Zelle mit dem Hormonrezeptor die Existenz eines Hormons in der Flüssigkeit um die Zelle herum bestimmen kann und auf die Bindung des Hormons an den Rezeptor mit einem Signal nach innen reagiert.
Zellen, die in der Niere aus dem Primärharn das Wasser rückresorbieren können, besitzen Wassertransporter (Aquaporine), deren Anwesenheit auf der Zelloberfläche durch Hormonsignale reguliert wird. Diese Signale stammen von Zellen, die auf unterschiedlichen Salzgehalt in der Blutflüssigkeit reagieren können (Rezeptoren für Osmolarität). Bis eine solche Reaktion vom Osmolaritätsrezeptor des Gehirns in der Nephronen ankommt, muss erst in der Hypophyse Vasopressin ins Blut freigesetzt werden, das von Rezeptoren in Nebennierenzellen erkannt und dort die Bildung und Freisetzung von Aldosteron auslöst, was dann schließlich in der Nebenniere Wasserretention bewirkt.
Eine besondere Funktion haben solche Zellen, an denen nicht nur eine Zelle, sondern der Organismus selbst mit der Außenwelt in Kontakt kommt: Lungengewebe, Darmoberfläche, Haut, Schleimhäute des Mundes und der Geschlechtsorgane. Hier liegt der Gewebsoberfläche häufig noch eine Schicht von Schleim auf, der aus Proteoglykanen besteht. Nach den Bezeichnungen Mukosa-Schleimhaut und mucus (lat.) Schleim wurden die Proteoglykane Mucine genannt. Sie können viel Wasser einlagern, wodurch eine feuchte Schicht die Zellen z.B. von der Luft trennt. Direkt mit der Luft in Kontakt, würden die Oberflächen austrocknen und die Zelle darunter sterben. Die Bildung der Mucine ist charakteristisches Merkmal von Mucosa-Zellen. In der Haut schützen abgestorbene Hautzellen die darunterliegenden Hautzellen vor der Austrocknung.
Der Blick auf Zellen
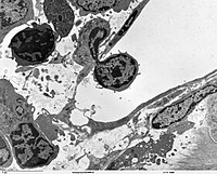
Zellen sind so klein, dass man Eigenschaften ihrer Oberfläche nur mit Hilfe des Elektronenmikroskops (Rasterelektronenmikroskop) erkennen kann. Auf der linken Seite sind weiße Blutzellen sichtbar, die man vor allem an der "gekräuselten" Oberfläche erkennt. Die roten Blutzellen, die Erythrozyten, sind an ihrer glatten Oberfläche und an den konkav/konvexen Formen erkennbar (kleine Körper mit unterschiedlichen Formen sind die Thrombozyten.). Im unteren Bild auf der linken Seite sieht man, wie sich ein Leukozyt durch ein Blutgefäß-Endothel quält, der vorher adhärent geworden ist. Auf der rechten Seite sieht man verschiedene Ansichten auf das Lungenepithel, vom Lumen aus (oben) und quer zur Membran (unten). Je nach Typ sind die Zellen mit langen Villi, mit kurzen oder nicht mit Villi ausgestattet. Unterschiedliche Elektronendichte und Granularität im unteren Bild deuten die verschiedenen Funktionen der Epithelzell-Typen, was man der Zelle von der Oberfläche her nicht ansehen kann.
Siehe auch
Literatur
- Bruce Alberts: Lehrbuch der molekularen Zellbiologie („Essential cell biology“). 3. Aufl. Wiley-VCH, Weinheim 2005, ISBN 3-527-31160-2.
- Charles Janeway: Immunologie („Immunobiology“). 5. Aufl. Spektrum Akad. Verlag, Heidelberg 2002, ISBN 3-8274-1079-7.
- Bernhard Kleine: Hormone und Hormonsystem. Eine Endokrinologie für Biowissenschaftler. Springer Verlag, Berlin 2007, ISBN 978-3-540-37702-3.
- Ivan M. Roitt u.a.: Immunologie („Immunology“). 3. neubearb. Aufl. Thieme, Stuttgart 1995, ISBN 3-13-702103-0.


© biancahoegel.de
Datum der letzten Änderung: Jena, den: 04.07. 2025