Hypophyse

Hypophyse (links) und Epiphyse (rechts)
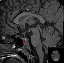
Hypophyse in der MRT (T1, nativ): Der Pfeil zeigt auf die Neurohypophyse (signalintens/hell), der Pfeilkopf auf die Adenohypophyse.
Vorder- und Hinterlappen
Hypophysenvorderlappen (links) und Hypophysenhinterlappen (rechts) (stark vereinfachte Darstellung)
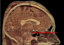
Lage der Hypophyse (Pfeil)

Die Hypophyse (griechisch ὑπόφυσις hypóphysis „das unten anhängende Gewächs“) ist eine Hormondrüse, der eine zentrale übergeordnete Rolle bei der Regulation des Hormonsystems im Körper zukommt. Sie ist eine Art Schnittstelle, mit der das Gehirn über die Freisetzung von Hormonen Vorgänge wie Wachstum, Fortpflanzung und Stoffwechsel reguliert. Die Hypophyse sitzt im Türkensattel (Sella turcica), einer knöchernen Vertiefung der mittleren Schädelgrube auf Höhe der Nase.

Eine geläufige deutsche Bezeichnung ist Hirnanhangsdrüse, die lateinisch-anatomische Bezeichnung ist Glandula pituitaria.

Aufbau und Physiologie

Die Hypophyse ist mit dem Hypothalamus über den Hypophysenstiel (Infundibulum) verbunden und wird in

eingeteilt. Entwicklungsgeschichtlich und funktionell unterscheiden sich die Hypophysenlappen voneinander. Während die Adenohypophyse aus einer Ausstülpung des Rachendaches, der sogenannten Rathke-Tasche, hervorgeht und sich der Neurohypophyse anlagert, ist die Neurohypophyse eine Ausstülpung des Zwischenhirns. Dieser Unterschied ist histologisch zu erkennen, denn während in der Adenohypophyse verschiedene in Ballen angeordnete endokrine Drüsenzellen vorkommen, dominieren in der Neurohypophyse vor allem Nervenzellfortsätze, sogenannte Axone, deren Zellkörper im Hypothalamus liegen. Somit vermag die Adenohypophyse Hormone unter Kontrolle des Hypothalamus selbst zu bilden und die Neurohypophyse ist hingegen als Speicher- und Sekretionsorgan für die im Hypothalamus gebildeten Hormone zuständig.

Blutversorgung

Die Hypophyse wird über vier Arterien mit Blut gespeist. Aus der Pars cavernosa der Arteria carotis interna entspringen zwei Arteriae hypophysiales inferiores, die vor allem im Bereich der Neurohypophyse ein Kapillarnetz bilden, in welches die entsprechenden Hormone abgegeben werden. Aus der Pars cerebralis der Arteria carotis interna entspringen zwei Arteriae hypophysiales superiores, die im Bereich der Eminentia mediana und des Hypophysenstiels Primärplexus bilden, in welchem einige Areale des Hypothalamus ihre Hormone, Liberine und Statine, sezernieren. Über die Venae portales hypophysiales gelangen sie in den Sekundärplexus, der an der Adenohypophyse liegt. In diesem Sekundärplexus gelangen die Hormone des Hypothalamus direkt an ihren Wirkort und es werden die Hormone der Adenohypophyse dort abgegeben, von wo aus sie in den Sinus cavernosus und damit in den Körperkreislauf abfließen, um ihre Wirkungen zu entfalten.

Hormone des Hypophysenvorderlappens (Adenohypophyse)

Unterschieden werden Hormone, die direkt auf ihre Zielorgane einwirken (nichtglandotrope Hormone), und solche, welche die Hormonproduktion nachgelagerter endokriner Drüsen stimulieren (glandotrope Hormone). Die glandotrophen Hormone werden auch Steuerungshormone genannt, da sie die Funktion anderer Hormondrüsen regulieren. Direkt auf ihre Zielorgane wirken das Wachstumshormon Somatotropin (STH) sowie Prolactin. Bei den glandotropen Hormonen werden die auf die Keimdrüsen (Gonaden) wirkenden gonadotropen Hormone follikelstimulierendes Hormon (FSH) und Luteinisierendes Hormon (LH) sowie die nichtgonadotropen Hormone, nämlich das die Nebennierenrinde stimulierende adrenocorticotrope Hormon (ACTH) und das die Schilddrüse stimulierende Thyroideastimulierendes Hormon (TSH) unterschieden. Durch Prozessierung eines größeren Vorläuferpeptides, des Proopiomelanocortins, entstehen neben dem ACTH zudem Melanotropin (MSH), β-Endorphin und met-Enkephalin. Die Hormonproduktion der Hypophyse wird mittels Liberinen und Statinen durch den Hypothalamus geregelt.

Hormone des Hypophysenzwischenlappens

Der Hypophysenzwischenlappen ist unter anderem Bildungsort der Melanozyten-stimulierenden Hormone (MSH, Melanotropine).

Hormone des Hypophysenhinterlappens (Neurohypophyse)

Bei den Hormonen, die im Hypophysenhinterlappen gespeichert und ausgeschüttet werden, handelt es sich um das Oxytocin sowie das antidiuretische Hormon (ADH), das auch als Adiuretin oder Vasopressin bezeichnet wird. ADH wird im Nucleus supraopticus (Kerngebiet, das sich oberhalb des Sehnerven befindet), Oxytocin im Nucleus paraventricularis (Kerngebiet im Hypothalamus), des Hypothalamus gebildet.

Krankheiten und Diagnostik

Eine Unterfunktion der Hypophyse (Hypophyseninsuffizienz, Panhypopituitarismus) kann vielfältige Ursachen haben.

Tumoren der Adenohypophyse nennt man Hypophysenadenome. Sie verursachen häufig eine übermäßige Hormonbildung. Eine Überproduktion von ACTH resultiert in einem zentralen Morbus Cushing, das ist ein Wachstumshormonüberschuss typischerweise in einer Zunahme der Größe von Händen und Füßen (Akromegalie). Große Tumoren können auf die Sehnerven drücken, was zu erheblichen Sehstörungen führt. Unbehandelt ist eine Erblindung die Folge. Solche Tumoren werden operativ häufig durch die Nase entfernt, in der Regel kann der Patient direkt nach der Operation wieder normal sehen.

An die körperliche Untersuchung schließen sich Hormonmessungen und Funktionstests an. Bei klinischem Verdacht sollten Hormonuntersuchungen bei einem Endokrinologen vor bildgebenden Verfahren durchgeführt werden, da die bildgebenden Verfahren häufig falsch positive Befunde ergeben („Incidentalome“). Als bildgebende Verfahren finden die Röntgenaufnahme der Sella turcica im Seitbild des knöchernen Schädels, die Computertomografie, die Magnetresonanztomografie und die Somatostatin-Rezeptor-Szintigrafie Anwendung.

Trenner
Basierend auf einem Artikel in: Extern Wikipedia.de
Seitenende
Seite zurück
©  biancahoegel.de
Datum der letzten Änderung:  Jena, den: 20.10. 2025