Vitamin-B12-Mangel
| Klassifikation nach ICD-10 | |
|---|---|
| E53.8 | Mangel an sonstigen näher bezeichneten Vitaminen des Vitamin-B-Komplexes |
|
| |
Vitamin-B12-Mangel, auch Hypocobalaminämie genannt, bezieht sich auf einen niedrigen Blutspiegel von Vitamin B12. Eine Vielzahl von Anzeichen und Symptomen können auftreten, insbesondere eine Blutarmut und neurologische Störungen.
Für die Aufnahme von Vitamin B12 ist im Magen ein Protein notwendig, der Intrinsische Faktor. Fehlt dieser z.B. im Rahmen einer Autoimmun-Gastritis, so wird der Vitamin-B12-Mangel als Perniziöse Anämie bezeichnet.
Anzeichen und Symptome
Vitamin-B12-Mangel kann schwere und irreversible Schäden insbesondere des Gehirns und des Nervensystems auslösen. Es ist möglich, dass sich die Nervenschäden trotz der Korrektur der Blutveränderungen nicht heilen lassen. Die Wahrscheinlichkeit einer vollständigen Umkehrung sinkt mit der Länge der Zeit, über welche die neurologischen Symptome vorhanden gewesen sind.
Im Prinzip lassen sich die Symptome in die zwei Kategorien der Blutveränderungen und der neurologischen Symptome aufteilen.
Blutveränderungen
Ein milder Mangel muss nicht zwangsläufig erkennbare Symptome verursachen. Bei jedem Menschen ist die Ausprägung unterschiedlich. Ein schwererer Mangel führt zu Symptomen wie Blutarmut, Schwäche, Müdigkeit, Benommenheit, schnellem Herzschlag, schneller Atmung und blasser Farbe der Haut. Er kann auch leichte Blutungen einschließlich Zahnfleischbluten verursachen. Nebenwirkungen im Verdauungsapparat sind eine wunde Zunge, Magenbeschwerden, Gewichtsverlust und Durchfall oder Verstopfung.
Bei der Blutarmut durch eine Störung der Erythropoese werden in der Regel rote Blutzellen (Erythrozyten) gefunden, die größer als üblich sind und eine höhere Hämoglobin-Konzentration als üblich aufweisen, so dass von einer megaloblastären Anämie gesprochen wird. Das höhere mittlere Zellvolumen (MCV) über 98 fl zeichnet die Anämie als makrozytär aus, die höhere mittlere Hämoglobinmenge pro rotem Blutkörperchen (MCH) über 34 pg oder 2,05 fmol führt zu einer (makrozytären) hyperchromen Anämie. Durch die Anämie ist auch der Hämatokrit reduziert, und die Anämie betrifft oft auch die weißen Blutkörperchen, so dass auch eine Leukopenie vorliegt.
Weitere auffällige Laborwerte sind durch eine vorzeitige Hämolyse oft eine erhöhte Lactat-Dehydrogenase (LDH) und ein erhöhter Wert des indirekten Bilirubin (Hyperbilirubinämie).
Allerdings kann bei gleichzeitig vorliegendem Eisenmangel, der zu einer hyopochromen mikrozytären Anämie führt, die megaloblastische Anämie nicht sichtbar sein, oder sogar eine mikrozytäre Anämie vorliegen. Dann kann die Erythrozytenverteilungsbreite (RDW) aber als Hinweis auf das gleichzeitige Vorliegen mikro- und makrozytärer Erythrozyten erhöht sein.
Psychische Beschwerden, neuropsychiatrische Störungen
- Manische und depressive Störungen, Stimmungsschwankungen, Verwirrtheit
- Psychosen mit visuellen Halluzinationen
- Müdigkeit, Gedächtnisstörungen, Reizbarkeit und Veränderungen der Persönlichkeit
- In seltenen Fällen kann ein Mangel an Vitamin B12 vorübergehend Symptome einer Demenz verursachen.
Neurologische Beschwerden
Die neurologischen Symptome durch Störungen am zentralen oder (als Neuropathie) peripheren Nervensystem sind sehr unspezifisch und in ihrem Auftreten zugleich unterschiedlich häufig und in unterschiedlicher Stärke, so dass es eine große Bandbreite alternativer Diagnosen für die neurologischen Symptome gibt, und andererseits bei unspezifischen neurologischen Symptomen neben anderem auch immer ein Vitamin-B12-Mangel ausgeschlossen werden sollte.
- Periphere Polyneuropathie mit Kribbeln oder Taubheit in den Fingern und Zehen (Dysästhesien bzw. Parästhesien)
- Schmerzen in Armen und Beinen, insbesondere nach geringer Belastung. Es können auch schmerzhafte intermittierende (Dysästhesien) auftreten.
- Hyporeflexie und Muskelschwäche
- Ataxie mit Schwierigkeiten beim Gehen
- Myoklonien
In schweren Fällen können weitere neurologische Symptome auftreten wie beispielsweise:
- Myelopathien
- Funikuläre Myelose: diese seltene der Multiplen Sklerose ähnliche demyelinisierende Erkrankung des Rückenmarks kann bis zur Querschnittlähmung führen und ist für den Vitamin-B12-Mangel pathognomonisch.
- Atrophie des Sehnerven
Auch wenn Symptome eines Vitamin-B12-Mangels vorliegen, kann das Blutbild noch unauffällig sein. In einer Studie fanden sich bei 141 Patienten mit einer akuten neuropsychiatrischen Symptomatik aufgrund eines Vitamin-B12-Mangels bei 40 Patienten (28 %) keine Anämie oder Makrozytämie. Der Hämatokrit war bei 34 Patienten (24 %) normal, das mittlere Zellvolumen der roten Blutzellen (MCV) war bei 25 Patienten (18 %) normal.
Weitere Symptome
Selten kann eine Erkrankung der Zunge auftreten, die pathognomonische Möller-Hunter-Glossitis mit einer Schleimhaut-Atrophie der Zunge, was ihr den Eindruck einer Lackzunge verleiht.
Ebenso kann es zu einem verringerten Geschmackssinn kommen.
Selten können auch eine verminderte Herzfunktion und eine verringerte Fruchtbarkeit auftreten.
Symptome bei Säuglingen und Kleinkindern
Bei Säuglingen und Kleinkindern sind neben Reizbarkeit, Apathie und Appetitlosigkeit auch schwere Entwicklungsverzögerungen mit motorischen Störungen und Wachstumsstörungen möglich, die bei schwerstem und langanhaltendem Vitamin-B12-Mangel auch irreversibel und sogar tödlich sein können.
Ursachen
Unzureichende Zufuhr von Vitamin B12 mit der Nahrung
Eine langjährige einseitige Ernährung kann Ursache für einen Vitamin-B12-Mangel sein. Auch eine vegane Ernährungsweise kann zu Vitamin-B12-Mangel führen. Vitamin B12 kommt vor allem in Tierprodukten (Eier, Fleisch, Milch) und in manchen Algen wie Chlorella und Susabi-nori (Porphyra yezoensis) vor.
Aus Bakterienkulturen gewonnenes Vitamin B12 ist vielen Nahrungsmitteln zugesetzt und als Nahrungsergänzungsmittel verfügbar. Veganer, und in geringerem Maße auch Vegetarier, haben ein hohes Risiko eines nahrungsbedingten B12-Mangels, wenn sie keine Nahrungsergänzung vornehmen. Ein B12-Mangel kann aber auch bei Menschen auftreten, die Fleisch essen. Kinder haben ein höheres Risiko für einen nahrungsbedingten B12-Mangel, da sie geringere Vitamindepots und einen relativ hohen Vitaminbedarf haben.
Intrinsischer-Faktor-Mangel und verminderte Resorption
Der Mangel an Intrinsischem Faktor führt zu einer selektiven Beeinträchtigung der Vitamin-B12-Resorption, dies entspricht der perniziösen Anämie. Der für die Aufnahme von Vitamin B12 erforderliche Intrinsische Faktor wird von den Belegzellen des Magens gebildet. Bei der (atrophischen) Typ-A-Gastritis kommt es aufgrund einer Autoimmunreaktion zu einer Zerstörung der Belegzellen. Auch bei einer umfangreichen chirurgischen Resektion des Magens oder bei erblich bedingter gestörter Synthese von Intrinsischem Faktor kommt es zu einer verminderten Vitamin-B12-Resorption.
Bei Malabsorptionssyndromen kommt es ebenfalls zu einer beeinträchtigten Absorption von Vitamin B12. Dies schließt jede Form von strukturellen Schäden oder vorhergehende chirurgische Eingriffe ein. Besonders teilweise oder komplette Resektionen des Magens (Gastrektomie) oder die Resektion des terminalen Ileum (der wichtigste Ort der Vitamin B12 Absorption) erfordern eine Vitamin-B12-Supplementation, wie dies bei den häufiger werdenden bariatrischen Eingriffen auch notwendig ist.
Auch eine Entzündung der Bauchspeicheldrüse, Leber- und Nierenerkrankungen können zum Vitamin-B12-Mangel führen. Ebenso kann ein Mangel an Magensaft (Achlorhydrie) eine B12-Malabsorption verursachen, da die Magensäure notwendig ist, um B12 von Nahrungsproteinen und Bindungsproteinen aus dem Speichel abzuspalten. Dies kann auch medikamentös durch Hemmung der Magensäurebildung ausgelöst werden Dies wird als häufigste Ursache für einen niedrigen B12-Gehalt bei älteren Menschen angesehen. Dieser Mechanismus hat keinen Einfluss auf die Aufnahme von B12 aus Nahrungsergänzungsmitteln, da sie in diesen nicht an Proteine gebunden sind.
Enteropathien wie Morbus Crohn und die Zöliakie können ebenfalls die Absorption von B12 beeinträchtigen. Dies ist weniger auf einen Mangel an Intrinsischem Faktor, sondern auf eine Schädigung des Dünndarms zurückzuführen.
Eine Dünndarmfehlbesiedlung oder Darmparasiten können zu einer B12-Resorptionsstörung führen. Beim Syndrom der blinden Schlinge kommt es zu Aussackungen der Darmwand mit Resorptionsstörungen.
Erbkrankheiten wie ein schwerer Methylentetrahydrofolat-Reduktase-Mangel, Homocystinurie und Transcobalamin-Mangel sowie Alkoholabhängigkeit können ebenfalls einen Vitamin-B12-Mangel auslösen.
Medikamente
Das Diabetes-mellitus-Medikament Metformin kann die B12-Aufnahme aus der Nahrung stören.
Die langfristige Einnahme von Protonenpumpenhemmern wie Omeprazol, Pantoprazol o.a. sowie von Antihistaminika (H2-Rezeptorenblocker) wie z. B. Ranitidin zur Senkung der Magensäureproduktion kann ebenfalls einen Vitamin-B12-Mangel auslösen. Die Magensäure ist wichtig, um Vitamin B12 aus den Nahrungsbestandteilen herauszulösen, da es ansonsten nicht ausreichend resorbiert werden kann.
Auch Antibiotika wie Chloramphenicol oder Neomycin können ursächlich für einen Vitamin-B12-Mangel sein.
Lachgas-Konsum stört den B12-Stoffwechsel, weshalb die regelmäßige Verwendung zum Mangel führen kann. Dies gilt auch für die missbräuchliche Verwendung sog. "whippets", mit Lachgas gefüllter Patronen z.B. zum Aufschäumen von Milch oder Sahne.
Mechanismus
Überblick
Die Gesamtmenge an Vitamin B12, die im Körper gespeichert ist, liegt bei Erwachsenen zwischen zwei und fünf Milligramm. Ungefähr die Hälfte davon wird in der Leber gespeichert. Etwa 0,1 % geht jeden Tag verloren, aufgrund der Abgabe in den Darm und unvollständiger Wiederaufnahme. Da B12 hauptsächlich über die Galle ausgeschieden wird, wird es über den enterohepatischen Kreislauf größtenteils zurückgewonnen. Aufgrund der starken Wirksamkeit dieses Mechanismus kann die Leber unter normalen Bedingungen einen Vorrat an Vitamin B12 für drei bis vier Jahre speichern. Die Geschwindigkeit, mit der sich B12-Spiegel ändern können, wenn die Nahrungsaufnahme niedrig ist, hängt jedoch von der Balance mehrerer Faktoren ab.
Stoffwechsel
Beim Menschen verursacht Vitamin-B12-Mangel Änderungen in der Verstoffwechselung von zwei klinisch relevanten Substanzen: Homocystein und Methylmalonsäure.
Homocystein wird durch die Methionin-Synthase in Methionin umgewandelt. Methionin wird wiederum zu S-Adenosylmethionin aktiviert, welches als Methylgruppen-Donor bei zahlreichen Stoffwechselprozessen beteiligt ist, beispielsweise bei der Synthese von Purin, Desoxythymidin, Myelin, Proteinen, Neurotransmitter, Fettsäuren, Phospholipiden und bei der DNA-Methylierung. Die aktive Form von Folsäure –Tetrahydrofolsäure- liefert bei der Reaktion von Homocystein zu Methionin eine Methylgruppe. Diese Reaktion erfordert Cobalamin als Cofaktor. Die Herstellung von Tetrahydrofolsäure ist eine irreversible Reaktion. Wenn B12 fehlt, unterbleibt die Methioninbildung, und die von Nachbildung von Tetrahydrofolsäure stoppt. Eine Homocysteinämie kann zu Krampfadern führen.
Methylmalonsäure wird als aktive Form – Methylmalonyl-CoA – durch die Methylmalonyl-CoA-Mutase, welche Vitamin-B12 als Co-Faktor benötigt, zu Succinyl-CoA umgesetzt.
Da B12 und Folsäure am Stoffwechsel von Homocystein beteiligt sind, ist die vermehrte Ausscheidung von Homocystein mit dem Urin kein spezifischer Marker für einen B12-Mangel. Methylmalonsäure ist dagegen spezifisch zum Nachweis eines B12-Mangels.
Pathomorphologie
Im Nervengewebe kommt es zu einer schwammartigen Umbildung mit ödematöser Schwellung von Nervenfasern. Durch Zerfall des Myelins der innenliegenden Nervenfasern kommt es zu Gewebeschwund und im weiteren Verlauf zu einer Sklerose des Nervengewebes. Diese Veränderungen treten am dorsalen Teil des Rückenmarks und dem Tractus corticospinalis lateralis der Pyramidenbahn auf. Dieser pathophysiologische Zustand des Rückenmarks wird als subakute kombinierte Degeneration des Rückenmarks bezeichnet.
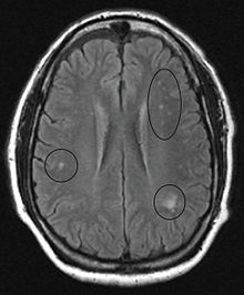
Im Gehirn selbst sind die Veränderungen weniger schwerwiegend. Hier treten kleine, meist subkortikal gelegene Herde mit Nervenfasernverfall und Anhäufung von Astrozyten auf, sowie runde Blutungsherde mit Anlagerung von Gliazellen. Diese pathologischen Veränderungen können auch in der Hinterwurzel des Rückenmarks und, in geringerem Ausmaß, bei peripheren Nerven auftreten. Sie können mittels Magnetresonanztomographie erkannt werden.
Diagnose
Beschreibung und Ursachensuche
Die Serum-B12-Spiegel sind bei B12-Mangel oft niedrig. Serum-Vitamin-B12-Werte werden in pg/ml (Picogramm/Milliliter) oder pmol/l (PicoMol/Liter) angegeben. Die Einheiten sind gemäß der molaren Masse von B12 wie folgt umzurechnen: 1,375 pg/ml = 1 pmol/l.
Wenn Anzeichen eines B12-Mangels bei normalem B12-Serumspiegel auftreten, sind weitere Untersuchungen angezeigt. Eine mögliche Erklärung für normale B12-Spiegel bei einem B12-Mangel ist eine Antikörper-Interferenz bei Patienten mit einem hohen Titer von Antikörper gegen den Intrinsischen Faktor. Einige Forscher kritisieren, dass die aktuellen Normwerte für Vitamin-B12-Spiegel zu tief sind. Eine japanische Studie zeigte, dass die normalen Grenzen bei 500–1,300 pg/ml liegt.>
Als frühester Marker für einen Vitamin-B12-Mangel gilt eine Erniedrigung von Holo-Transcobalamin (Holo-TC) auf unter 35 bis 50 pmol/l. Holo-Transcobalamin ist ein Komplex aus Vitamin B12 und seinem Transportprotein. Es wird auch als "aktives Vitamin B12" bezeichnet, da das Vitamin in dieser Form in der Blutbahn zirkuliert und zu den aufnehmenden Zellen transportiert wird. Wenn ein Vitamin-B12-Mangel klinisch vermutet wird und der Gesamt-Vitamin-B12-Wert niedrig-normal ist, bietet sich die Bestimmung von Holotranscobalamin als nächster diagnostischer Schritt an.
Weiterhin gelten Serum-Homocystein- und Methylmalonsäure-Spiegel (Werte über 0,4 µmol/l) als zuverlässigere Indikatoren für einen B12-Mangel als die Konzentration von Gesamt-Vitamin B12 in Blut. Die Spiegel dieser Substanzen sind bei einem B12-Mangel erhöht. Beim Folsäuremangel ist der Serum-Homocystein-Spiegel zwar auch erhöht, nicht aber der Methymalonsäure-Spiegel.
Die Routineüberwachung von Methylmalonsäure im Urin ist eine Option für Menschen, die nicht genug B12 über die Nahrung aufnehmen, denn ein Anstieg des Methylmalonsäure-Spiegels kann ein frühes Anzeichen für einen B12-Mangel sein.
Bei Methylmalonsäure (MMA) gilt ein Laborwert > 32 μg/l im Serum als Hinweis für einen wahrscheinlichen Vitamin-B12 Mangel. Erhöhte Methylmalonsäure-Spiegel in Kombination mit einem nur leicht erniedrigten Holo-TC, weisen bereits auf einen metabolisch manifesten Vitamin-B12-Mangel hin. Da Methylmalonsäure über die Niere ausgeschieden wird, ist ein Bezug des Messwertes auf das Kreatinin sinnvoll, um die Ausscheidungsleistung der Niere zu berücksichtigten. Liegt eine Niereninsuffizienz vor, ist die Abgrenzung durch therapeutische Methylmalonsäure-Absenkung möglich.
Wenn Schäden am Nervensystem vermutet werden, ist eine Analyse von B12 im Liquor cerebrospinalis möglich, obwohl ein solch invasiver Test nur in Betracht gezogen werden sollte, wenn Bluttests nicht schlüssig sind.
Der Schilling-Test wurde weitgehend von Tests für Anti-Belegzellen- und Intrinsischer-Faktor-Antikörper verdrängt.
Wirkung von Folsäure
Große Mengen Folsäure können die schädlichen Auswirkungen eines Vitamin-B12-Mangels maskieren; sie verhindern die megaloblastäre Anämie, nicht jedoch die neurologischen Schäden. Zudem gibt es Hinweise dafür, dass hohe Serum-Folsäure-Spiegel nicht nur den Vitamin-B12-Mangel maskieren, sondern auch die Anämie und kognitive Symptome verstärken können. Aufgrund der Tatsache, dass in den Vereinigten Staaten die gesetzlich vorgeschriebene Fluoridierung mit einem Folsäurezusatz zur Reduktion von fetalen Neuralrohrdefekten durchgeführt wird, können Verbraucher mehr Folsäure aufnehmen als sie vermuten. Um diesem maskierenden Effekt entgegenzuwirken, empfehlen die NIH, dass die Folsäureaufnahme aus angereicherten Lebens- und Nahrungsergänzungsmitteln bei gesunden Erwachsenen 1000 μg pro Tag nicht überschreiten sollte. Am wichtigsten ist, dass ein B12-Mangel mit B12-Gabe behandelt werden muss. Eine Folsäurebegrenzung wirkt nicht den unwiderruflichen neurologischen Schäden entgegen, die aus einem unbehandelten B12-Mangel resultieren.
Behandlung
Einmal diagnostiziert kann ein Mangel leicht mit oral zu verabreichenden Präparaten oder Injektionen behandelt werden. In einigen Fällen kann der Mangel durch Behandlung der zugrunde liegenden Ursache beseitigt werden. Andere Fälle erfordern möglicherweise eine fortlaufende Nahrungsergänzung, da die zugrunde liegende Ursache nicht heilbar ist. Bei schwangeren Vegetarierinnen und Veganerinnen wird eine Supplementierung empfohlen, da in dieser Zeit der Bedarf erhöht ist, und ein Mangel neurologische Defizite beim Kind verursachen kann.
Wenn große Dosen oral verabreicht werden, beruht deren Absorption nicht auf der Anwesenheit von intrinsischem Faktor oder einem intakten Ileum. Im Allgemeinen sind dann hochdosiert täglich 1 bis 2 mg notwendig.
Als parenterale Präparate werden Cyanocobalamin und Hydroxocobalamin verwendet. Bei einer akuten Mangelerkrankung mit neurologischen Symptomen werden 1000 µg Vitamin B12 in der Regel für eine bis zwei Wochen alle ein bis zwei Tage intramuskulär appliziert, unter Kontrolle des Vitamin-B12- und des Homocystein-Spiegels. Bei einer perniziösen Anämie erfolgen meist einmal wöchentliche Injektionen bis zur Normalisierung des Blutbildes, später einmal monatliche Injektionen zum Erhalt eines normalen Spiegels.
Epidemiologie
Vitamin-B12-Mangel ist weit verbreitet. Es wird geschätzt, dass er bei etwa 6 % der Personen unter 60 Jahren und 20 % der Personen mit einem Alter von über 60 Jahren auftritt. In einigen Teilen Afrikas und Asiens sind bis zu 80 % der Bevölkerung betroffen.
Eine Studie aus dem Jahr 2000 zeigt, dass B12-Mangel weiter verbreitet ist als bisher angenommen. Sie zeigte, dass 39 Prozent von 3.000 untersuchten Menschen zu niedrige Werte hatten. Die Studie der Tufts University benutzte eine B12-Konzentration von 258 pmol/l (= 350 pg/ml) als Kriterium für einen zu tiefen Spiegel. Doch neue Forschungsergebnisse> haben ergeben, dass ein B12-Mangel selbst bei viel höheren B12-Konzentrationen (500–600 pg/ml) auftreten kann, weshalb der Bevölkerungsanteil mit B12-Mangel deutlich höher liegen könnte. Diese Studie fand keine Korrelation zwischen Fleischverzehr und dem B12-Serumspiegel.
In den Entwicklungsländern ist der B12-Mangel sehr weit verbreitet, vor allem in Afrika, Indien und Süd- und Mittelamerika. Es wird vermutet, dass dies an der geringen Aufnahme von tierischen Produkten liegt, vor allem unter den Armen.
B12-Mangel ist häufiger bei älteren Menschen. Das könnte daran liegen, dass die B12-Absorption bei chronischer Gastritis stark abnimmt, was bei älteren Menschen häufig vorkommt. Auch nehmen ältere Menschen häufiger Medikamente ein, die die Magensäurebildung hemmen, und mit einem Risiko für Vitamin-B12-Mangel verbunden sind.
Vitamin-B12-Mangel bei Tieren
Bei Hunden und Katzen wird Cobalamin im Magen zu einem erheblichen Teil an Haptocorrin gebunden. Der Intrinsische Faktor (IF) wird bei Katzen vollständig, bei Hunden zu einem großen Teil in der Bauchspeicheldrüse gebildet. Daher treten Mangelerscheinungen vor allem bei der exokrinen Pankreasinsuffizienz auf, aber auch schwere Darmerkrankungen und eine bakterielle Überwucherung des Darms können zu einem B12-Mangel führen. Beim Riesenschnauzer gibt es einen erblich bedingten Mangel durch die fehlende Ausprägung des IF-Rezeptors im Ileum.


© biancahoegel.de
Datum der letzten Änderung: Jena, den: 23.11. 2025