Adenohypophyse
Die Adenohypophyse (lat.: Adenohypophysis) – manchmal als Hypophysenvorderlappen (HVL) bezeichnet – stellt den größeren Teil der Hirnanhangsdrüse (Hypophyse) dar. Sie geht entwicklungsgeschichtlich aus der Rathke-Tasche der Mundbucht hervor und wird somit oft nicht als ein Teil des Gehirns erachtet, im Gegensatz zur Neurohypophyse. Während der HVL beim Menschen (und auch Paarhufern) den vorderen Teil der Hypophyse darstellt, umgibt er bei einigen Säugetieren (z. B. Raubtieren und Pferden) die Neurohypophyse (Hypophysenhinterlappen) vollständig.
Aufbau
Der Aufbau der Adenohypophyse ist typisch für eine endokrine Drüse. Hier werden zahlreiche Hormone gebildet, die als Effektor- oder Steuerhormone wirken. Die Hormonproduktion der Adenohypophyse selbst wird wiederum durch Releasing-Hormone (Liberine) und Inhibiting-Hormone (Statine) des Hypothalamus sowie in der Regel durch die regulierten peripheren Hormone gesteuert.
Die Adenohypophyse besteht aus drei Teilen:
- Der Vorderlappen (die Pars distalis) ist der vorderste Teil der Hypophyse. Er enthält azidophile Alpha-, basophile Beta-, chromophobe Gamma- und azidophile Etazellen (= Schwangerschaftszellen).
- Der Zwischenlappen (die Pars intermedia) befindet sich zwischen Vorderlappen und Hinterlappen (Teil der Neurohypophyse). In seinen Zellen wird Melanozyten-stimulierendes Hormon (MSH) gebildet.
- Der Trichterlappen (die Pars tuberalis) umgreift von vorne den Hypophysenstiel (Teil der Neurohypophyse). Über seine Funktion ist bislang nichts bekannt.
Glandotrope Hormone
Glandotrope („auf Drüsen wirkend“, von lat. glandula „Drüse“) Hormone sind Steuerhormone des Hypophysenvorderlappens, welche die Hormonproduktion anderer endokriner Organe regulieren:
- TSH (Thyroidea stimulierendes Hormon) oder Thyreotropin, stimuliert die Schilddrüse (Glandula thyroidea).
- ACTH (Adrenokorticotropes Hormon), stimuliert die Nebennierenrinde.
- FSH (Follikelstimulierendes Hormon), stimuliert die Gonaden.
- LH (Luteinisierendes Hormon), stimuliert die Gonaden.
Die beiden letztgenannten Hormone werden auch als Gonadotropine zusammengefasst.
Nichtglandotrope Hormone
Effektorhormone, die nicht auf endokrine Drüsen, sondern direkt auf Erfolgsorgane wirken, sind:
- STH (Somatotropes Hormon) oder Somatotropin.
- Prolaktin.
- MSH (Melanozyten-stimulierendes Hormon) oder Melanotropin welches im Hypophysenmittellappen produziert wird.
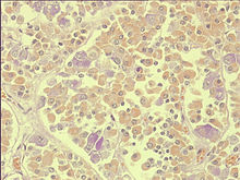
Zelltypen
Lichtmikroskopisch lassen sich durch unterschiedliches Färbeverhalten in der Adenohyphophyse drei Zelltypen unterscheiden. Es handelt sich dabei um azidophile, basophile und chromophobe Zellen.
Azidophile Zellen
Diese mit saurem Farbstoff anfärbbaren Zellen (azidophile Zellen) sind am häufigsten in der Adenohyphophse. Charakteristisch sind insbesondere rot anfärbbare Granula im Cytoplasma. Sie bilden ausschließlich nichtglandotrope Hormone und lassen sich in zwei Untergruppen einteilen:
- Laktotrope Zellen produzieren Prolactin. Dieser Zelltyp hat einen Anteil von 20 % an den Zellen der Adenohyphophyse. Bei Männern sind sie seltener als bei Frauen, bei denen sie in der Schwangerschaft bis zu 70 % der Zellen ausmachen können. Typisch für Laktotrope Zellen sind relativ große Sekretionsgranula mit unregelmäßiger Gestalt.
- Somatotrope Zellen bilden das Somatotrope Hormon (STH). Ihr Anteil an den Zellen der Adenohyphophyse beträgt ca. 50 % und sinkt mit dem Alter. Ihre Granula sind kleiner.
Basophile Zellen
Dieser Zelltyp ist aufgrund der im Cytoplasma eingeschlossenen Sekretionsgranula mit basophilen Farbstoffen dunkelviolett-blau anfärbbar. Auch hier lassen sich je nach Hormonproduktion unterschiedliche Zelltypen unterscheiden, wobei alle außer den MSH-bildenden Zellen glandotrope Hormone bilden:
- Gonadotrope Zellen bilden die Hormone FSH und LH, die auf die Gonaden wirken. Diese Zellen sind relativ groß und stellen ca. 10 % aller Adenohyphophysenzellen.
- Thyreotrope Zellen bilden das Hormon TSH, das auf die Schilddrüse (lat. Glandula thyroidea) wirkt. 5 % aller Adenohyphopysenzellen sind Thyreotrope Zellen, sie besitzen kleine Sekretgranula.
- Kortikotrope Zellen, die etwa 20 % der Zellen ausmachen, produzieren ACTH, das auf die Nebennierenrinde (lat. Cortex glandulae suprarenalis) wirkt.
- MSH-bildende Zellen kommen besonders in der Pars intermedia vor und stellen 5 % der Zellen.
Chromophobe Zellen
Chromophobe Zellen sind nicht anfärbbar, da sie keine Granula besitzen. Zu den Chromophoben Zellen zählen Stammzellen, Sternzellen, die den Gliazellen im Nervensystem ähnlich sind, und verbrauchte endokrine, vormals azido- oder basophile Zellen, die keine Granula mehr besitzen.


© biancahoegel.de
Datum der letzten Änderung: Jena, den: 20.08. 2025
