Hypothalamus
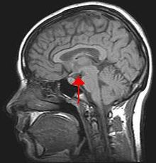
Der Hypothalamus (griech. ὑπό hypo „unter“ und θάλαμος thalamós „Zimmer, Kammer“) ist ein Abschnitt des Zwischenhirns (Diencephalon) im Bereich der Sehnervenkreuzung (Chiasma opticum). Medial wird der Hypothalamus vom dritten Ventrikel, kranial vom Thalamus begrenzt. Das Infundibulum, der sogenannte Hypophysenstiel, verbindet den Hypothalamus mit der Hypophyse, deren Hinterlappen noch als Teil des Hypothalamus bezeichnet wird. Der Hypothalamus bildet Effektorhormone, Releasing- und Inhibiting-Hormone, verschiedene Neuropeptide und Dopamin. Er steuert damit die vegetativen Funktionen des Körpers.
Funktion
Der Hypothalamus ist das wichtigste Steuerzentrum des vegetativen Nervensystems, das selbst aus verschiedensten homöostatischen Regelkreisen besteht. Der Hypothalamus ist die wichtigste Hirnregion für die Aufrechterhaltung des inneren Milieus (Synonym: Homöostase) und seiner Anpassung bei Belastungen des Organismus. Selbst geringste Störungen dieses relativ kleinen, äußerst bedeutsamen Zwischenhirnareals wirken sich auf die Lebensfähigkeit des Individuums aus. Das gesamte vegetative System hat unter anderem folgende Aufgaben:
- Aufrechterhalten der Homöostase (Temperatur, Blutdruck, Osmolarität)
- Regulation der Nahrungs- und Wasseraufnahme
- Circadiane Rhythmik und Schlaf
- Steuerung des Sexual- und Fortpflanzungsverhaltens (Sexualzentrum)
Um seinen Aufgaben nachzukommen, hat der Hypothalamus zahlreiche neuronale Verbindungen zu anderen Hirnzentren. Außerdem steuert er über Liberine (releasing factors bzw. releasing hormones) und Statine (release inhibiting factors bzw. release inhibiting hormones) die Hormonabgabe der Adenohypophyse (Hypophysenvorderlappen) bzw. produziert selbst die Hormone, die in der Neurohypophyse (Hypophysenhinterlappen), die ebenfalls zum Hypothalamus gezählt wird, ins Blut abgegeben werden.
Regulation der Körpertemperatur
An der Steuerung der Körpertemperatur ist der Nucleus preopticus beteiligt. Er liegt am rostralen Ende des Hypothalamus in direkter Nachbarschaft der Septumregion und des Organum vasculosum laminae terminalis. Efferent projiziert der Nucleus preopticus GABAerg in das Periaquäduktale Grau (PAG) und den Nucleus raphes magnus, von wo aus die Thermogenese gesteuert wird. Ebenfalls beeinflusst der Nucleus preopticus die Freisetzung von Thyreoliberin (TRH) aus dem Nucleus paraventricularis. TRH wiederum stimuliert die Thyreotropin-Ausschüttung (TSH), was zu einer Steigerung der Stoffwechselaktivität über die Schilddrüsenhormone führt.
Homöostase der Osmolarität
Der Nucleus paraventricularis vor allem aber der Nucleus supraopticus produzieren das Nonapeptid Vasopressin (Synonym: Antidiuretisches Hormon, ADH oder Adiuretin). Über den axonalen Transport gelangt dieses in den Hypophysenhinterlappen (Synonym: Neurohypophyse) und wird dort in den Hypophysen-Portalkreislauf abgegeben. ADH führt zu einer verstärkten Resorption von Wasser aus dem Primärharn. Somit kommt es zu einer verminderten Wasserausscheidung über die Niere, was einer Hyperosmolarität entgegenwirkt und den Blutdruck steigert.
Regulation der Nahrungsaufnahme
An der Regulation der Nahrungsaufnahme sind mehrere Kerne beteiligt. Sie ist sehr komplex und es existieren verschiedene Theorien. Die zwei wichtigsten seien hier genannt:
Beteiligt sind der Nucleus arcuatus und der Nucleus paraventricularis. Sind die Fettspeicher des Körpers gefüllt, schütten die Fettzellen das Hormon Leptin aus. Dieses hemmt im Nucleus arcuatus die Freisetzung von Neuropeptid Y (NPY). NPY wirkt hemmend auf den Nucleus paraventricularis und fördert das Hungergefühl. Leptin inhibiert also die hemmende Wirkung des NPY. Gleichzeitig stimuliert Leptin die Ausschüttung von alpha-MSH, einem Peptid-Hormon, das den Nucleus paraventricularis über den MC-4 Rezeptor stimuliert und Sattheit signalisiert. Funktionsausfall des MC-4-Rezeptors durch Mutationen führt schon im Kindesalter zu starkem Übergewicht und zum early-onset Diabetes mellitus Typ II.
Nach einer zweiten Theorie wird das Hungergefühl von zwei Teilen des Hypothalamus reguliert: Der laterale Hypothalamus regt bei einer Stimulation den Hunger an, der ventromediale Hypothalamus hingegen hemmt das Hungergefühl bei Stimulation. Diese Erkenntnis führte zur dualen Hypothalamustheorie des Hungers, nach der angenommen wird, dass die beiden Zentren den Beginn und die Beendigung der Nahrungsaufnahme steuern.
Schlaf und circadiane Rhythmik
Auch an der Regulation des Schlafs und der circadianen Rhythmik ist der Hypothalamus beteiligt: Der Nucleus tuberomammillaris produziert den Neurotransmitter Histamin und ein Peptid namens Orexin. Orexin wirkt über bestimmte Rezeptoren auf den lateralen Hypothalamus und führt zu gesteigerter Aufmerksamkeit. Mutationen dieses Rezeptors werden für das Krankheitsbild der Narkolepsie verantwortlich gemacht. Außerdem wird Orexin als wake-up-drug z.B. für Kampfjet-Piloten gebraucht. Interessant ist in diesem Zusammenhang, dass Schlaflosigkeit zu vermehrter Nahrungsaufnahme und gleichzeitiger Gewichtsabnahme führt, und Orexin Appetit steigernd wirkt. Auch der Nucleus preopticus venterolateralis (VLPO) des Hypothalamus ist beteiligt an der Schlafeinleitung. Läsionen in diesem Kern führen zur Insomnie.
Der Nucleus suprachiasmaticus (SCN) enthält direkte Afferenzen aus der Retina. Hier vermuten Forscher den Sitz der „inneren Uhr“, Neurone, die für die circadiane Rhythmik verantwortlich sind. Der SCN kontrolliert sehr stark die Aktivität des Sympathikus. Über dieses vegetative System stimuliert der SCN die Freisetzung von Melatonin aus der Zirbeldrüse. Melatonin wird in den Abendstunden vermehrt ausgeschüttet und trägt zur Schlafeinleitung bei. Die höchste Konzentration findet sich im Blut um drei Uhr morgens. Die anatomische Verbindung vom SCN zur Zirbeldrüse führt über den Nucleus paraventricularis zum Seitenhorn des Thorakalmarks. Von dort aus erreichen sympathische Nervenfasern über eine Verschaltung im Ganglion cervicale superior begleitend mit den arteriellen Gefäßen die Zirbeldrüse. Diese schüttet circadian mit einem Maximum um drei Uhr morgens Melatonin aus.
Beeinflussung des Sexualverhaltens
An der Beeinflussung des Sexualverhaltens ist u.a. das Corpus mamillare beteiligt. Es ist Teil des Papez-Kreis und wird dem Limbischen System zugerechnet. Der Nucleus preopticus medialis ist an der Varietät des sexuellen Verhaltens beteiligt.
Ferner geben magnozelluläre neurosekretorische Zellen des Nucleus paraventricularis über Projektionen in die Neurohypophyse (Synonym: Hypophysenhinterlappen) das Hormon Oxytocin in den Blutkreislauf ab. Oxytocin ist während der Geburt an der Kontraktion der Gebärmuttermuskulatur beteiligt, löst die Milchausschüttung aus den Milchdrüsen aus und beeinflusst Partner- und Mutter-Kind-Bindung positiv.
Hormone des Hypothalamus
| Hormone des Hypothalamus | Wirkung in der Hypophyse | Endokrine Drüse / Wirkungsort | Wirkung |
|---|---|---|---|
| TRH (Thyreotropin-Releasinghormon, Thyreoliberin) | Ausschüttung von TSH (Thyroidea stimulierendes Hormon, Thyreotropin) | Schilddrüse | Thyroxin und Triiodthyronin |
| CRH (Corticotropin-releasing Hormone, Corticoliberin) | Ausschüttung von ACTH (Adrenocorticotropes Hormon, Adrenocorticotropin) | Nebennierenrinde | Aldosteron, Cortisol, Sexualhormone |
| GnRH (Gonadotropin-Releasing-Hormon. Gonadoliberin) | Ausschüttung von FSH und LH | Gonaden | |
| GHRH (Growth-hormone-Releasinghormon, Somatoliberin) | Ausschüttung von Wachstumshormon | ||
| Somatostatin (Growth Hormone-Inhibitinghormon GHIH bezeichnet) | hemmt die Ausschüttung von Wachstumshormonen | ||
| MSH-RH (MRH, Melanoliberin) | Melanozyten-stimulierendes Hormon (MSH, Melanotropin) aus dem Hypophysenzwischenlappen (Pars intermedia) | verstärkte Hautpigmentierung | |
| MSH-IH (MIH, Melanostatin) | verminderte Ausschüttung von MSH | verminderte Hautpigmentierung | |
| vermutet, aber bislang nicht identifiziert: PRL-RH (Prolaktin-Releasinghormon, Prolaktoliberin), TRH kann die PRL-Freisetzung stimulieren | soll die Prolaktinausschüttung fördern. | Milchdrüse | fördert Laktation |
| Dopamin (auch als Prolaktin-Inhibiting-Hormon bezeichnet) | kontrolliert die Prolaktinausschüttung | Milchdrüse | hemmt Laktation |
| Adiuretin (ADH, Vasopressin) | Hypophysenhinterlappen | Effektorhormon: direkter Stoffwechseleffekt ohne Drüse | |
| Oxytocin | Hypophysenhinterlappen | Effektorhormon: direkter Stoffwechseleffekt ohne Drüse |


© biancahoegel.de
Datum der letzten Änderung: Jena, den: 07.11. 2025

